O pacientă în vârstă de 71 de ani s-a adresat Spitalulului de Cardiologie Clinică și Intervențională Arcadia pentru dureri puternice în piept, manifestate de câteva luni sub forma unor crize foarte severe care apăreau la cel mai mic efort. Durerile se asociau cu amețeală, panică și lipsă de aer, determinând pacienta să se oprească din orice tip de activitate și să aștepte să treacă. Crizele durau de la câteva minute până la câteva zeci de minute și se remiteau spontan.
Acest tip de simptomatologie ridică o mare suspiciune, indicând o posibilă afectare circulatorie cardiacă și necesită în mod obligatoriu explorare coronarografică. În afara crizelor, pacientul poate părea clinic sănătos, cu electrocardiogramă, tensiune arterială și ecocardiografie normale, însă simptomatologia descrisă nu trebuie neglijată. Principala recomandare în astfel de cazuri este explorarea coronarografică întrucât investigațiile paraclinice, cum ar fi electrocardiograma sau ecocardiografia, nu exclud o patologie vasculară cardiacă, ci doar indică faptul că inima nu a suferit încă modificări ireversibile.
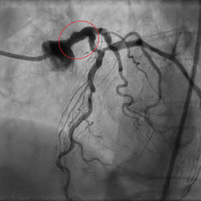
Coronarografia realizată pacientei a evidențiat artera principală a inimii – trunchiul principal coronarian stâng – înfundată în proporție de 99%, ceea ce înseamnă că 2/3 din suprafața cardiacă nu beneficia de o o circulație coronariană adecvată. Acest tip de afectare vasculară cardiacă este principala cauză de moarte subită întrucât nu există nicio șansă de supraviețuire atunci când se înfundă o arteră care presupune un teritoriu implicat foarte mare.

Imaginea 1. Stenoză critică de trunchi coronarian stâng
Trunchiul principal coronarian fiind închis subtotal, șansa de a avea o reușită cu tratament medicamentos este spre zero. La acest tip de pacienți se impune intervenția în urgență pentru a se reface circulația coronariană prin orice tip de metodă – chirurgicală sau intervențională. Riscul de a nu se realiza nicio intervenție este cel mai mare pentru pacient întrucât riscul de moarte subită depășește considerabil riscul chirurgical și riscul intervențional.
În cazul pacientei, prin intermediul unei proceduri intervenționale, cu ajutorul dispozitivelor medicale de care dispune Compartimentul de Cardiologie Intervențională Arcadia, s-a reușit deschiderea trunchiului coronarian stâng, lărgirea sa cu balon și implantarea unui stent coronarian. Când s-a realizat explorarea coronarografică a fost implantat și stentul pentru că intervenția nu putea fi amânată.
Imaginea 2. Implantare stent la nivelul stenozei de trunchi coronarian stâng
Această procedură de Cardiologie intervențională a normalizat fluxul coronarian, impactând considerabil starea pacientei. Odată cu refacerea circulației coronariene normale, riscul de moarte subită a fost eliminat, iar simptomele au dispărut.
Imaginea 3. Trunchi coronarian stâng fără obstrucție, după implantarea stentului
Intervenția a durat în jur de o oră, iar internarea pacientei în Spitalul de Cardiologie Clinică și Intervențională Arcadia a fost de 2 zile. Pacienta a revenit la control după o lună, interval în care nu a mai prezentat simptome, deci starea sa s-a ameliorat semnificativ.
Având un stent, pacienta necesită tratament și controale medicale în continuare. Tratamentul are drept obiective prevenirea progresiei patologiei, normalizarea dislipidemiei și prevenirea trombozei intrastent. Dacă simptomatologia dispare și timp de 6 luni nu reapare, aceasta fiind perioada critică, se consideră că pericolul a fost eliminat. Controlul este doar clinic, electrocardiografic și ecocardiografic, principalul aspect urmărit fiind absența simptomelor. Cât timp nu sunt simptome cardiace semnificative, nu se efectuează controale prin coronarografie. În cazul apariției simptomelor, este necesară o coronarografie de control pentru că stentul nu poate fi vizualizat direct prin nicio altă metodă, iar computer tomografia nu este foarte precisă.
Orice pacient care prezintă dureri în piept necesită un consult cardiologic, în urma căruia medicul cardiolog evaluează necesitatea unei explorări în detaliu prin intermediul coronarografiei. Pentru programări, pacienții au la dispoziție numărul de telefon 0232 920, Call Center Arcadia.